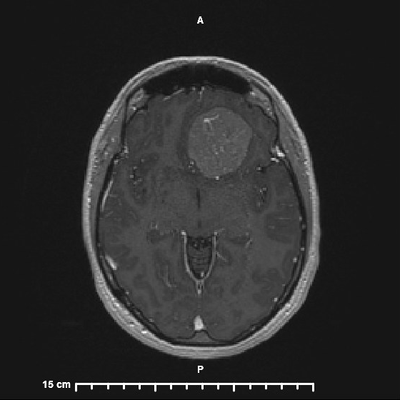
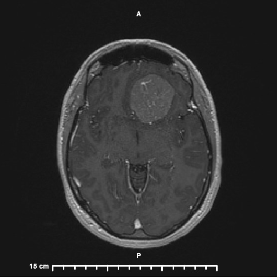
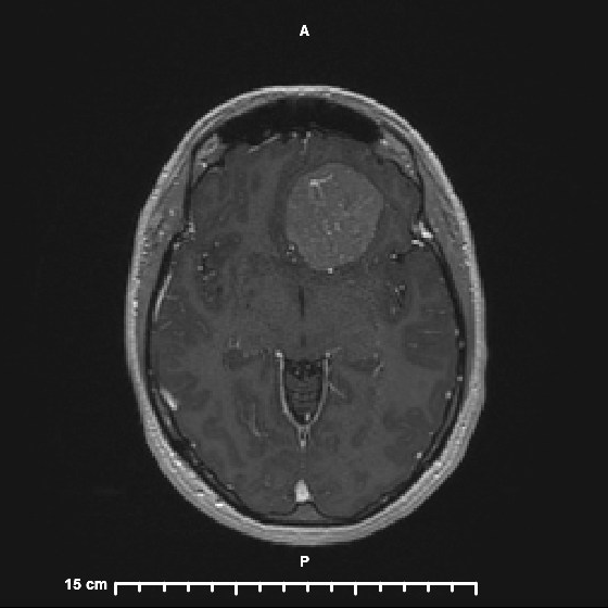
My journey from diagnosis to surgery to recovery to a “new normal” and everything in between.

Dive into my personal journey as I share what Christopher Walken has to do with my brain tumor! Uncover the ups, downs, and incredible moments that shaped my experience.